Patient Cases - Page 2

Please click images to ENLARGE. Please use the menu below to view additional cases pages.

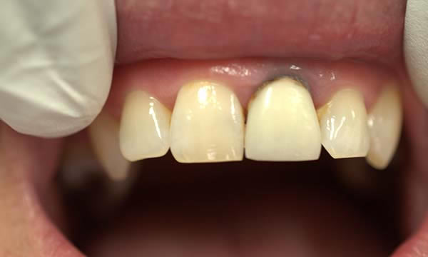
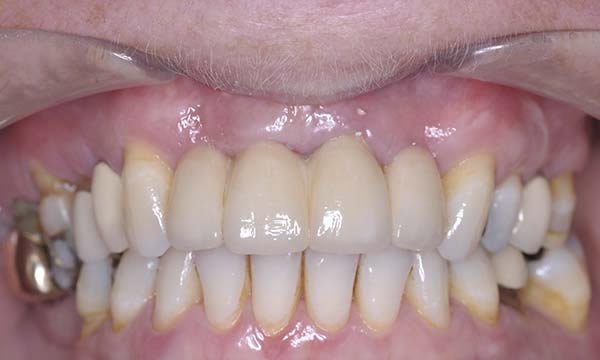
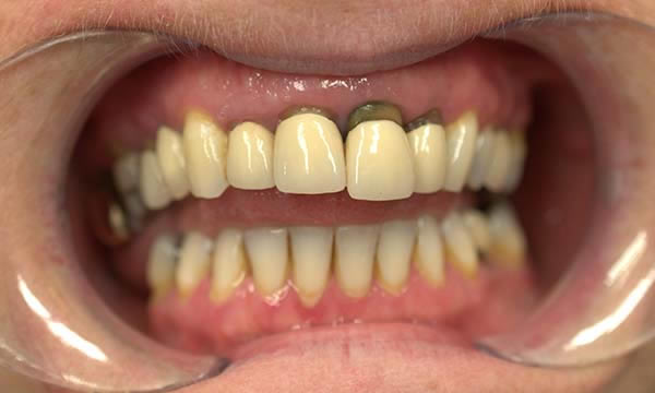
Case E

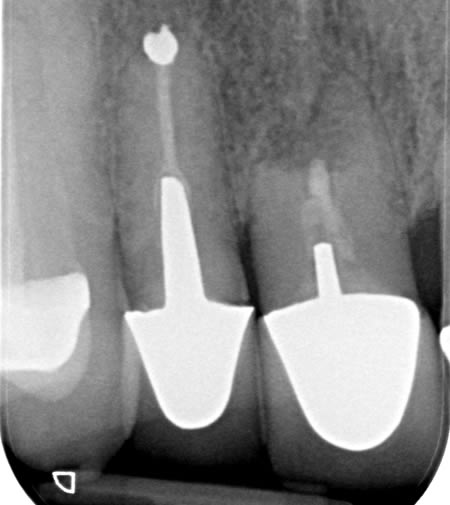
This lovely lady was referred to Dental Implants .London and treated in her own practice with the help of the referring dentist. The patient came to see us after having an accident as a child which left her upper front four teeth heavily restored. After numerous root canal treatments, apicectomies and crowns, all of the upper anterior incisors started to exhibit signs of external root resorbtion. Over the years the upper central incisors lost over 50% of the root support, over erupted and became loose.

It was very important, given the patients work in a school that she had an adequate temporaries during her treatment and that she was never left without teeth. This was taken care of using a temporary denture.

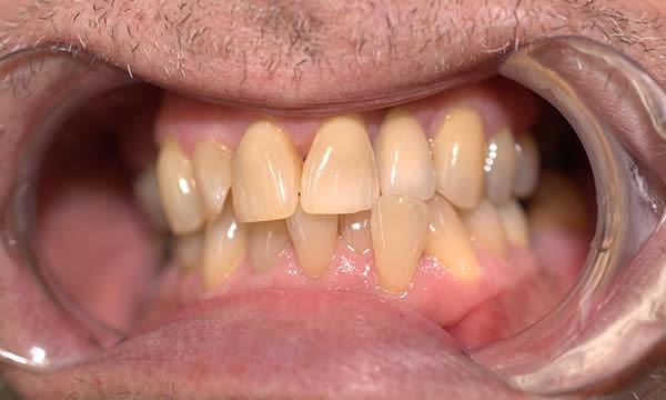
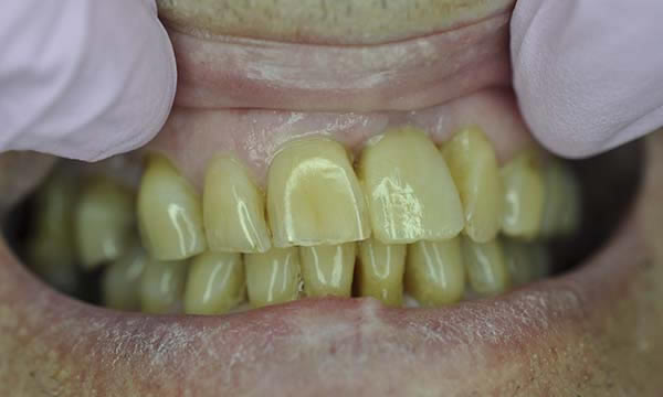
The delayed immediate protocol was implemented, following extraction of the upper incisor teeth and following 3 months of healing, a temporary bridge was used to ensure occlusal harmony and predictable papillae formation. 15 months later, after a recent review, Mrs Murphy is still very happy, smiling and says they feel and perform just like natural teeth.

Case E

Before Treatment

+

Case E

After Treatment

+

Case E

After Treatment

+

Case E

Before Treatment

+

Case E

After Treatment

+

Case F

This gentleman came to see me after his crown decorated. He was fed up with being called a pirate by his grandchildren and decided to do something about the gap.
Due to an absence of infection and an atraumatic extraction, the removal of the tooth was followed by immediate implant placement. The implant was restored with an Atlantis abutment and bonded crown.

Case F

Before Treatment

+

Case F

Before Treatment

+

Case F

Preparation Treatment

+

Case F

After Treatment

+

Case F

After Treatment

+

Case G

A failed apicectomy in the UL1 was diagnosed after a history of labial draining discharge and mobility. The patient was referred to us for treatment and a diagnostic wax up was used to discuss the proposed finished crown, estimated gingival margin position and crown height with the patient.

A tooth bourn position guide allowed for predictable implant placement within the aesthetic zone. Collaboration with with Smile Dental Laboratory and clinical pictures helped to produce a great shade match and natural looking result.

Case G

Before Treatment

+

Case G

Before Treatment

+

Case G

During Treatment

+

Case G

During Treatment

+

Case G

During Treatment

+

Case H

This case is a collaboration between ourselves and a specialist periodontist based in the referring practice. A case of patience, where a patient wanted to be rid of his un-retentive denture replacing the UL1 while stabilising his periodontal disease with improved home care and treatment from a specialist periodontist.

After approximately 12 months of periodontal therapy, the patient was deemed stable enough by the specialist periodontist to undergo implant treatment. An Astra EV implant was placed and a well shade matched zirconia crown was luted to an Atlantis abutment. Digital SLR pictures were used to provide the lab technician with appearance detail of the neighbouring dentition, to allow the technicians at Smile Dental Laboratory to introduce 'accents' and a realistic and seamless look to the final zirconia prosthesis.

Case H

During Treatment

+

Case H

During Treatment

+

Case H

After Treatment

+

Case H

After Treatment

+

Dental implants placed by us in YOUR practice