Patient Cases - Page 1

Please click images to ENLARGE. Please use the menu below to view additional cases pages.

Case A

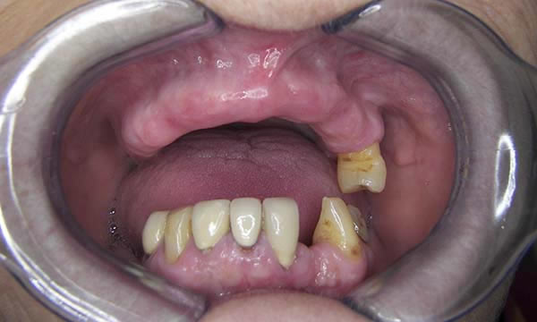
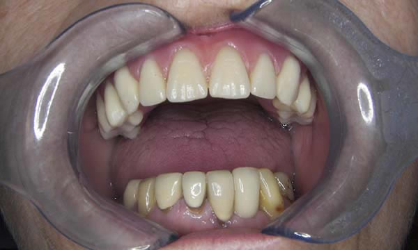
This lady had a very comfortable but loose denture that she had been using for many years. With the loss of her UR5 she decided to close the space and incorporate it into a new implant retained denture. She also decided to replace her lost LL2 with an implant retained crown.

The Kerator overdenture attachment system was used to provide predictable and stable retention for her maxillary denture and the single implant retained crown closed the lower anterior space well. Restoring both form, maxillary lip support, function and confidence.

Case A

Before Treatment

+

Case A

Before Treatment

+

Case A

Before Treatment

+

Case A

During Treatment

+

Case A

During Treatment

+

3 Case

During Treatment

+

Case A

During Treatment

+

Case A

During Treatment

+

Case A

After Treatment

+

Case B

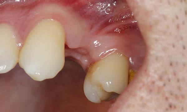
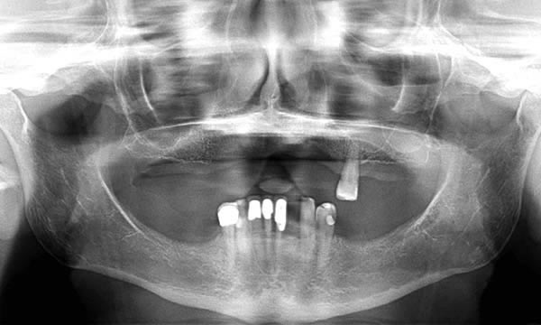
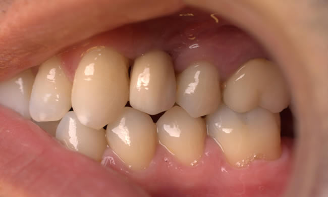
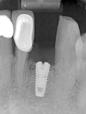
This gentleman had lost his heavily restored UL4 and decided to close the space with an implant retained crown. The thin buck-palatal width required careful placement to avoid fenestration bucally. A tooth bourn position guide was used to place the implant predictably and within the aesthetic envelope. The implant was restored after three months of osseointegration with a bonded crown.

Case B

Before Treatment

+

Case B

During Treatment

+

Case B

During Treatment

+

Case B

During Treatment

+

Case B

During Treatment

+

Case B

After Treatment

+

Case B

After Treatment

+

Case B

After Treatment

+

Case C

A case of a patient who was a long term resin retained bridge wearer. The resin retained bridge was placed after the patient lost his UL1 many years ago. There was a history of the resin retained bridge lute failing, and due to the loss of the UL1 there was a labio - palatal bone deficit.

A clear acrylic position guide was used to guide implant placement within the aesthetic envelope and guided bone regeneration was used labially to elevate the long standing concavity. A Bonded crown was used to restore the implant and at the 12 month follow up, the bone level around the implant remains unchanged and the patient is confidently smiling.

Case C

During Treatment

+

Case C

During Treatment

+

Case C

During Treatment

+

Case C

During Treatment

+

Case C

During Treatment

+

Case C

During Treatment

+

Case C

During Treatment

+

Case C

During Treatment

+

Case C

During Treatment

+

Case

Treatment

+

Case C

After Treatment

+

Case D

After many years of wearing a denture, this patient wanted a change to a fixed and conservative appliance. Two Astra EV implants were placed to support a four unit bridge.

Case D

During Treatment

+

Case D

During Treatment

+

Case D

During Treatment

+

Case D

During Treatment

+

Case D

After Treatment

+

Dental implants placed by us in YOUR practice